設備紹介|きたじまクリニック|茂原市大芝の脳神経外科・内科・循環器内科

〒297-0033千葉県茂原市大芝3丁目6-5

0475-26-7050

ワクチン・予防接種予約
診察室イメージ

設備紹介

設備紹介|きたじまクリニック|茂原市大芝の脳神経外科・内科・循環器内科

設備紹介

MRI SIGNA Explorer

MRI SIGNA Explorer

当院では、米国GE社最新型デジタルMRI SIGNA Explorerを導入いたしました。従来のMRに比べ、デジタル信号で通信をすることにより、画質が大幅に向上します。
また、SILENT SCANという静音技術により撮影中の音が従来よりも静かになり、快適な撮影環境での頭部検査が可能になりました。

超音波 LOGIQ P7

超音波 LOGIQ P7

米国GE社最新型デジタル超音波診断装置LOGIQ P7を導入いたしました。上位機種から受け継がれたプローブ技術を再現し、明瞭な超音波画像の描出が可能となりました。また、頸動脈IMTを自動検出する機能があり、従来より診断の質を高めています。

CT Revolution ACT

CT Revolution ACT

米国GE社最新型マルチスライスCT Revolution ACTを導入いたしました。高感度型フルデジタルパネル検出器を採用し、従来のCTに比べ高画質をご提供できます。
また、被ばく感受性の高い部位水晶体や甲状腺・乳腺等の臓器の表面被ばくを低減する技術を搭載しています。

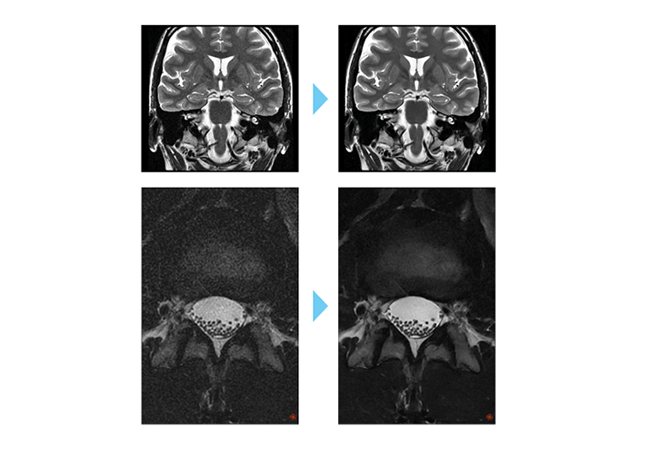
Deep Learning AIR™ IQ Edition(MR30)

Deep Learning AIR™ IQ Edition(MR30)

AIを使った画像再構成にて高磁場装置のような高画質画像

1.5T MRIに最新技術を導入したことで、撮像時間のかかる分解能の高い検査内容でもAIR™ Recon DL( AI:深層学習)により画質が向上しました。AIR™ Recon DLは、空間データ全体に直接ディープラーニング画像再構成を応用し、「ノイズ低減」、「画像 尖鋭度の向上」、「トランケーションアーチファクト低減」の3つの効果が同時に得られる画期的な技術です。

画像のクオリティ向上による診断精度向上

MRIは検査時間が長いため、動きがあった場合は、撮りなおしを行っていた検査でした。新技術により、仰向けになられず、動きによりアーチファクトがあっても、診断の効率向上や患者様の負担軽減に貢献します。

フィリップス社製 最新型超音波診断装置

フィリップス社製最新型超音波診断装置Affiniti CVx を導入いたしました

高画質な描出性能に加え、AIを活用した自動計測・解析機能を搭載しており、従来よりも微細な血流や臓器の動きまで鮮明に描出できるため、心臓・血管・腹部などの病変を早期段階で発見しやすくなりました。
さらに短時間での検査を実現し、患者様の負担を軽減するとともに、より早期の診断・治療につなげます。

TOP